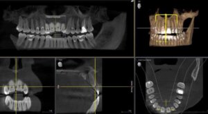
Diese Technik benötigt nur einen Bruchteil der konventionellen Strahlendosis und kommt ohne Filme, Entwicklermaschinen und giftige Chemikalien aus. Die Röntgenbelastung wird um circa 90% zur konventionellen Röntgentechnik reduziert.

Diese Technik benötigt nur einen Bruchteil der konventionellen Strahlendosis und kommt ohne Filme, Entwicklermaschinen und giftige Chemikalien aus. Die Röntgenbelastung wird um circa 90% zur konventionellen Röntgentechnik reduziert.

Sie sehen gerade einen Platzhalterinhalt von OpenStreetMap. Um auf den eigentlichen Inhalt zuzugreifen, klicken Sie auf die Schaltfläche unten. Bitte beachten Sie, dass dabei Daten an Drittanbieter weitergegeben werden.
Mehr Informationen